신경낭미충증 | 검색결과 - zum 허브
이전 페이지로
검색
검색창 비우기
연관검색어
건강
뇌질환
국제
기생충
허브글
2
추천채널
정확도순
최신순
SBS
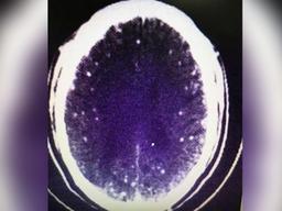
뇌에 구멍이 수십 개... 덜 익은 돼지고기 함부로 먹으면 안 되는 이유
28일, 영국 데일리메일 등 외신들은 '
신경
낭미충증
'에 걸려 사망한 인도 청년의 사연을 소개했습니다. 소년은 사고 발생 전 사타구니 근처에 통증을 호소했습니다. 이뿐만 아니라 눈이 부어오르고 두통에 시달리는 등 몸 상태가 점점 안 좋아졌습니다. 결국 일주일간 알 수 없는 고통에 시달리던 소년은 발...
동아일보
‘훠궈’ 먹은 中남성 뇌에서 기생충 수백마리 발견…왜?
씨(46)가
신경
낭미충증
을 진단받았다고 27일(현지 시간) CNN이 중국 저장대 연구결과를 인용해 보도했다. 주 씨는 약 한 달 전 돼지고기와 양고기를 넣어 만든 훠궈를 먹었다. 그로부터 며칠 후 어지럼증과 두통을 겪었다. 또한 잠을 자다 간질과 비슷한 발작 증상을 일으키는 등 병세가 악화했다. 주 씨의...
더 많은 검색결과
를 알고싶다면?
‘
신경낭미충증
’
로 통합검색하기
스포츠월드
글 6
경제·스포츠·엔터테인먼트 콘텐츠를 아우르는 종합경제·스포츠신문 ‘SEGYE 비즈&스포츠월드’
스마트PC사랑
글 6
PC·모바일·게임·테크 등 디지털 각 분야의 깊이 있는 기사를 누구나 쉽고 재미있게 접할 수 있도록 맞춤형 콘텐츠로 제공하는 IT·PC전문 월간지입니다.
슈퍼액션
글 3
슈퍼액션(SuperAction)은 액션 장르에 특화된 디지털 미디어입니다. 영화, 배우, 무술, 스턴트 등 액션과 관련된 다양한 콘텐츠를 심도 있게 다루며, 대중성과 전문성을 겸비한 액션 아카이브 플랫폼을 지향합니다.